说起拔牙,大家都不陌生,毕竟就算自己没亲身体验过,身边也总有亲戚朋友拔过智齿什么的,但最近,有则新闻却刷新了我们对拔牙这件事的认知。
有位浙江金华的网友近日称父亲一天内拔牙 23 颗,种牙 12 颗,13 天后去世。这位患者不幸去世,与拔这么多牙有关吗?到底一次能拔几颗牙呢?

前一个问题,可能的因素众多,没人能仅凭网上信息隔空判断患者死因,只能等相关部门的调查结果了。但第二个问题,作为一名牙医,确实可以为大家解答一二,下面咱们就简单聊聊拔牙到底一次能拔几颗。
一次拔几颗牙,怎么决定?
我们平时给病人拔智齿,被问得最多问题之一就是“我可以一次全拔掉吗?”
这种心情当然能够理解,很多情况下出问题的智齿不止一颗,请假看个牙不容易,能一次解决何不一次解决。
然而,多数时候,我们的回答都是“No!”但有些情况,又确实可以一次多拔几颗。一般来说,我们在判断能不能拔掉多颗牙齿的时候,绝不可能死板地按照规定说拔几颗就拔几颗(事实上也没有这种规定),毕竟一样米养百样人,百样人有百口牙,情况太复杂。
那么到底该怎么决定拔几颗呢?
牙况复杂,因此在做判断的时候,我们主要基于一个原则,那就是创伤要小,不影响恢复。只要创伤够小,别说一颗两颗牙齿,一次性拔掉更多颗牙齿都是可行的。
那么问题来了,“创伤小”这个“小”是多小呢?
这并没有准确的标准划分,需要牙医根据具体“牙况”来判断。一般来说,如果牙齿已经松动,那么拔这样一颗松动的牙根带来的创伤就很小,连拔好几颗可能十分钟都不需要。
但是,如果拔一颗水平阻生牙的话,那创伤就可能很大,拔一颗恐怕要耗上半个多小时,耗尽医生的精力的同时,病人也可能累得张不开嘴。
所以,如果是拔智齿,我们在门诊有时也会选择一侧上下两颗一起拔,因为下颌智齿通常容易阻生,上颌智齿往往相对简单,创伤加起来适中,同时医生拔牙用时也不多,效率又比较高,省得病人三番五次就诊。

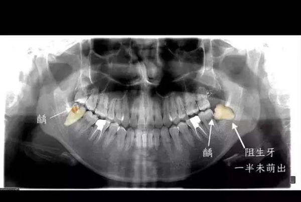
  智齿前方的牙齿已经出现了蛀洞,即龋病,图中可见一颗阻生牙。图源:作者
但如果遇到满口的烂根残冠,我们有时候会也多拔几颗,因为这些牙齿通常可以本身已经有一些“松动度”了,也就是不那么牢固了,拔起来不算费事。
不过,我们也必须考虑到病人日常生活的方便,实际操作中一般都会选择同一侧或者同一个象限(指既是同一侧又同是上牙或下牙)内的残根拔除。
这样做的好处是,拔牙后只有一侧受伤咬不了东西,而另一侧则相对无创,可以让病人在进食时勉强咀嚼,不至于弄得病人只能喝流食。
一次拔几颗,也要看人群
前面强调了需要尽量减轻创伤,但我们这么重视“创伤”,主要是希望创伤恢复得快,因此我们除了要减轻创伤,还需要考虑患者自己的恢复力。
因为,哪怕是程度相仿的创伤,对于不同的人群来说,也不可相提并论。举个例子,就算是相似的拔牙创伤,拔掉的是同样难拔的牙、用时也接近、创口大小也类似。但一个患者是体弱的老年人,另一个则是年轻气盛的青年人,他们各自对于同等创伤的反应和恢复速度也是截然不同的。
另外还有一个因素必须考虑,那就是基础病。年轻人通常相对身体状况更好,基础病也少。而老年人往往还患有各种基础疾病,比如糖尿病、高血压、心脏病、免疫疾病等,对于这类人群来说,再小的创伤也可能成为压倒骆驼的最后一根稻草,因此,我们在评估这类病人能够耐受的手术创伤时,就要更加谨慎,宁可保守一点。
此外,一次拔多颗牙齿,还要考虑拔牙时的具体情况,多颗牙齿同时拔牙的过程应该控制在较短的时间,比如半小时或一小时之内;术后要评估出血的情况,适当时候还需要缝合止血;此外,还要结合手术过程中的创伤深浅和病人的基本身体素质来评估术后感染的可能。
一次拔出多颗难拔的牙齿,往往还会给术后用药,预防感染,消肿止痛带来更多挑战。
关于一次拔几颗牙,尽管出于严谨确实没法给出具有普适性的具体的数字,但作为牙医笔者倒可以分享一点实际经验。
在笔者印象中,单次拔牙最多的那次,是为一位老人拔出了六个残根,之所以能够这样操作,是因为当时这位患者虽然年近七十,但是整体健康状态不错。除了有高血压外(通过服药控制得很好),并没有什么其他诸如糖尿病、心脑血管等全身疾病。
按照前文提到的结合患者自身状况,尽量减轻创伤,方便恢复的原则,身体健康状况没这么好的老人,拔多颗牙时恐怕还是需要更加谨慎一些。
而回到这次的事件,虽然拔牙这项操作跟病人最终死亡之间的因果关系还有待调查,但是不得不说一次处理这么多牙齿,确实也属于非常罕见的操作。
老人拔牙,这几点要注意
这里还要强调一下,虽然“拔牙”听起来普通又常见,但它毕竟也是一种手术,同样需要规范操作,严肃对待。尤其是对一些高危人群来说,更要注意,这里着重讲一下老年朋友们拔牙时的注意事项。
首先,患者要把自己的全身状况尽可能详尽地告知拔牙医生,包括各种基础病,比如最常见的高血压、糖尿病等等。此外,呼吸系统、消化系统、泌尿系统的疾病也应该在拔牙前告诉医生,让医生对你的全身耐受手术的能力有一定的评估。
其次,如果患者有长期服用的药物,尤其是抗凝药比如阿司匹林等,也要告诉医生。因为涉及到拔牙后的出血情况,医生还需要查验患者的凝血功能。
最后,老年人拔牙最好还是有家属陪同,尤其是超过80岁的病人,一方面有家人陪同一切都会方便很多,出现什么情况,也能及时沟通处理。而医生在拔牙后传达一些注意事项时,多一双耳朵来听更不容易遗漏重点。
再强调一下,咱们一方面要注意平时牙齿的保健,少吃糖、少喝软饮料特别是碳酸饮料,勤刷牙,使用牙线和水牙线。避免把好好的牙齿折腾到非拔不可的窘境。另一方面,像捣乱的智齿,咱也不用讳疾忌医,该拔就拔,拔了才轻松,至于一次能拔几颗还要请牙医判断。
最后祝大家除了定期检查牙齿和牙周洁治,平时都不用见到牙医。
– THE END –
 
                 
                 
                 
                 
                 
                
评论0