法国一公务员“脑子里都是水”:竟然还能正常生活!

“脑子进水”一直以来都不是什么好话。当有人说自己脑子进水的时候,很难有人不拍案而起。但是这世界上真的有一群人“脑子里全是水”。

他们的颅腔被脑脊液充满,大脑只有薄薄一层,但即使这样,他们不光能正常生活,甚至还能上大学、当公务员

这个公务员脑子里都是“水”

2007 年,著名医学杂志《柳叶刀》报道了一个奇怪的病例:患者的脑子里有个大洞,洞里面全是水,看起来几乎把整个脑子的空间都占得差不多了。用标题党的思路来说,这人“没长脑子”

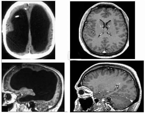
这位患者是法国人,前来就诊时 44 岁,说自己左腿无力已经两星期了。这听起来不是什么严重的大病,但询问病史后医生得知,他在 6 个月时患上了原因不明的脑积水,为此进行了引流,14 岁时又似乎因为引流引发过左腿的运动失调和轻度偏瘫。大概是考虑到旧病复发的可能性,医生对他进行了大脑 CT 和 MRI 扫描。

扫描的结果令所有人大吃一惊。他的大脑中央是一滩巨大的积水,脑子被挤压到了边缘薄薄一层。当然严格来说这也不是纯水,而是脑脊液。正常人脑子内有少量的脑脊液,不断产生又不断排出到循环系统里,保持总量稳定,但这位患者脑内的排水系统发生了障碍,进多出少,导致液体越积越多。

法国一公务员“脑子里都是水”:竟然还能正常生活!
左边为这名法国男子的大脑,中间黑色部分都是脑脊液;右边为正常人的大脑

脑积水不是什么特别罕见的疾病,大概每一千人里就有一人会得,患者小时候既然有过脑积水,后来复发也不奇怪。但一般来说脑内只要积水稍多,就应该有头疼、恶心或者视力障碍之类的症状才对,引发严重智力缺陷也是家常便饭,严重时可以致命。

这个人的脑子被挤压得如此扭曲,所有的脑区都被压扁了,可是不但此前没有症状,还当上了公务员且结婚生子。检查发现他的全量表智商为 75,言语智商为 84,操作智商为 70,虽低于平均值,但也没有低到离谱。

困惑不已的医生只能再一次为他进行了引流,把积水引到体内其他安全的地方。患者腿部的症状很快消失了,不过 CT 扫描和智力测试并无明显变化。既然异常萎缩的大脑没有影响他的正常生活,他也就正常出院了。

这个病例后来在互联网上流传多年,时不时就会重新进入人们的视野,还常常被当作梗供人嘲笑。与之伴随的还有一个数据说此人“失去了 90%的大脑”,并经常和“人类大脑只用了 10%”的谣言相关联。不过,原论文并没有指出他的大脑损失了多少。

“人的脑子真的有必要吗?”

当事医生之一后来接受著名科学杂志《新科学家》采访时说,他们没有对患者的实际脑容量进行测量,但如果只靠眼睛看来估算的话,他觉得应该减少了 50%到 75%左右。此外,脑积水是一个逐渐挤压的过程,被压缩的大脑体积当然会减少,但减少一半体积并不意味着一半的神经元会消失。所以这位患者的大脑实际上遭受了怎样的损伤,恐怕只有未来的尸检能够回答。

医生被采访的时候说,虽然很多疾病都能引发大脑萎缩,但也都伴随着各种心智能力的损失,从未听说过如此严重的脑积水却不影响大脑正常运行的。不过,这种情况其实有一些先例。四十多年前,类似的症状甚至引发过医学界的一波争吵。

这场争吵的起点是一位名叫约翰·罗伯(John Lorber)的英国医生。1980 年,他在一场学术会议上宣读了一篇名为《你的脑子真的有必要吗?》(Is Your Brain Really Necessary?)的论文,收集了 600 多名脑积水患者的扫描结果,其中确实有些患者出现了智力障碍,可是也有很多患者似乎毫无影响。

有一个极端的案例:他任职的学校里有个学生,智商 126,拥有数学系的一等荣誉学士学位,但他的脑子里几乎全都是水,脑组织只有一毫米左右的薄薄一层。他收集的样本里有些患者颅腔内 95%都被脑脊液占据,可是其中却有一半的人智商超过 100。此外也有许多患者的脑积水严重偏向于大脑一侧,但两侧的身体运动和感知并无差异。

法国一公务员“脑子里都是水”:竟然还能正常生活!

如何理解这一结果?罗伯本人认为,这证明大脑拥有巨大的冗余,就像人的肝脏和肾脏平日远没有抵达满负荷一样。此外,他也认为这证明大脑皮层并不如过去想象的那么重要,很多功能可能其实是由神经系统的其他部分完成的。

为什么这些人脑子里都是“水”还能正常地生活?

当然,许多其他研究者觉得这立场太极端了,给出了很多反驳意见。比如说,当时脑 CT 扫描技术刚起步,解读扫描结果还不太成熟,所以 95%脑脊液很可能是夸张了。

又如,前文提到过压缩不等于损伤的问题,扫描观察到体积减小本身能说明的问题有限。一般认为脑积水会首先对脑白质造成损伤,灰质受损是很晚期才会出现的情况,所以病人的认知能力没有明显降低,可能只是反映了灰质相对完好,而不能推论出灰质没有用。

法国一公务员“脑子里都是水”:竟然还能正常生活!

遗憾的是,罗伯的多数观察(包括那个智商 126 的极端案例)都没有正式发表,所以这一争论后来逐渐沉寂了。不过,罗伯至少有一个猜测得到了后来脑科学的证实,那就是人类大脑拥有惊人的再生能力

20 世纪 80 年代普遍的观点认为中枢神经系统细胞一旦受损就无法修复,成年后不会再有新生脑细胞出现,这一观点如今已经被基本驳倒,大家都意识到了人类大脑拥有极高的可塑性,就算成年之后也依然保留。

脑积水患者的脑脊液都是在漫长的时间里逐渐增加的,往往持续多年,所以可以想象,随着大脑逐渐遭受挤压损伤,神经元应该也在不断修复和再生,重新分配功能,虽然最终严重畸形,但基本运作还能维持。如果是因为疾病或者外伤,短时间内造成类似级别的破坏,那就肯定会反映为明显的行为和认知障碍。

换句话说,那个法国病人虽然脑子里确实进了水,但是他习惯了。

医生建议:

本文中的案例包含一些极端情况,人脑的机制十分复杂,这些案例不具有普适性。如果有不适建议及时就诊,遵循医生的建议进行治疗。

策划制作

作者丨范岗 科普创作者

审核丨李菁晶 北京天坛医院神经内科教授、主任医师

策划丨徐来

责编丨何通

审校丨徐来 林林

责任编辑:落木

文章内容举报

– THE END –

0
分享海报

评论0

请先
欢迎您光临安然网,如有侵权,请提供相关版权证明发给本站,审核属实后将会立即删除。MAIL:zgs5516@163.com
显示验证码
没有账号?注册  忘记密码?

社交账号快速登录

'); })();